Исследование показало, что почти у всех людей с двумя копиями этого генетического варианта развиваются признаки болезни Альцгеймера

Исследование показало, что почти у всех людей с двумя копиями этого генетического варианта развиваются признаки болезни Альцгеймера

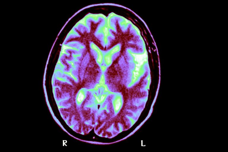
МРТ головного мозга человека с болезнью Альцгеймера. Новое исследование предполагает, что наличие двух копий генетического варианта под названием APOE4 является

Чикагский музей представляет «самое важное ископаемое, когда-либо обнаруженное»: пернатого динозавра-археоптерикса

Чикагский музей представляет «самое важное ископаемое, когда-либо обнаруженное»: пернатого динозавра-археоптерикса

Крупный план, показывающий Археоптерикс череп, шея, позвоночник, грудная клетка и кости крыльев окаменелости. Окаменелость будет выставлена ​​на обозрение в Полевом

Бомбу времен Второй мировой войны успешно обезвредили возле немецкого футбольного стадиона

Бомбу времен Второй мировой войны успешно обезвредили возле немецкого футбольного стадиона

Бомба была обнаружена возле арены «Мева», домашней арены футбольного клуба «Майнц 05». Специалисты в Германии успешно обезвредили неразорвавшуюся бомбу, сброшенную

Тепловой экран капсулы «Орион» НАСА изношен более чем в 100 местах во время испытательного полета 2022 года, что представляет «значительный риск»

Тепловой экран капсулы «Орион» НАСА изношен более чем в 100 местах во время испытательного полета 2022 года, что представляет «значительный риск»

ВМС США работают над восстановлением космического корабля «Орион» после его испытательного полета на Луну в 2022 году. Космический корабль НАСА